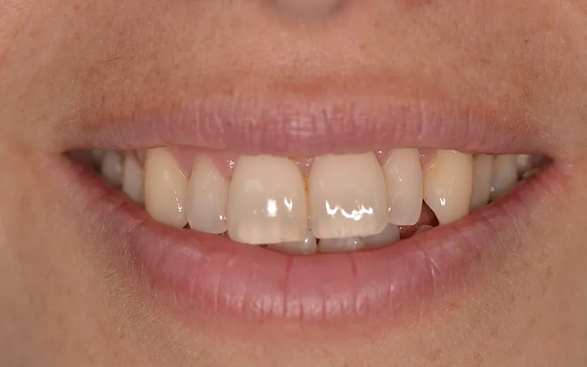
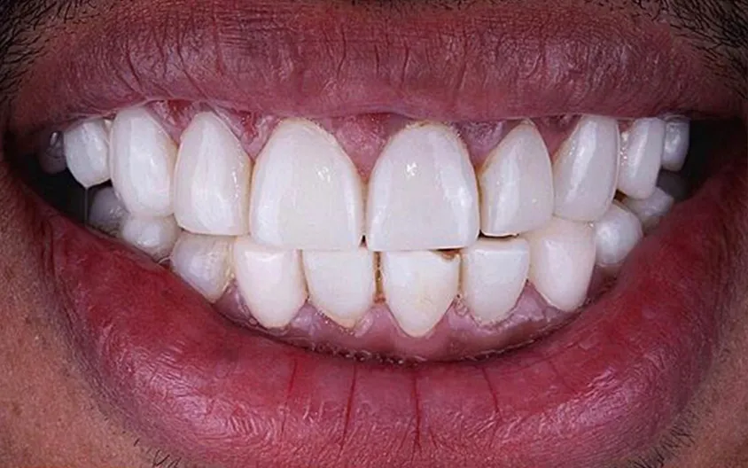
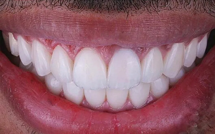
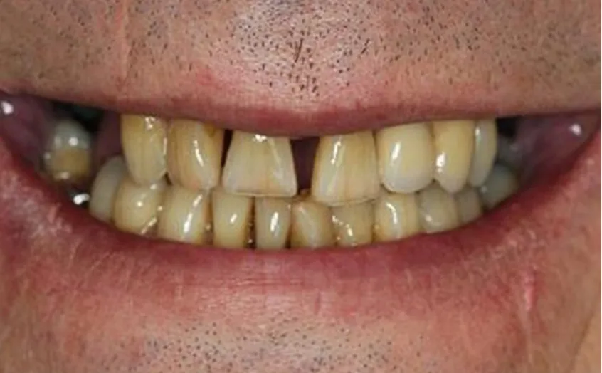
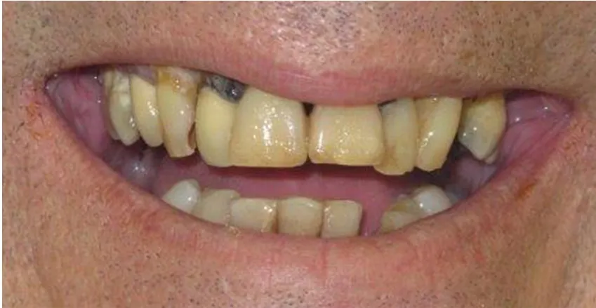
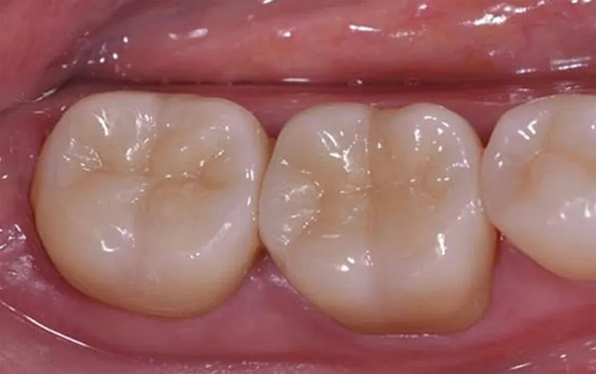
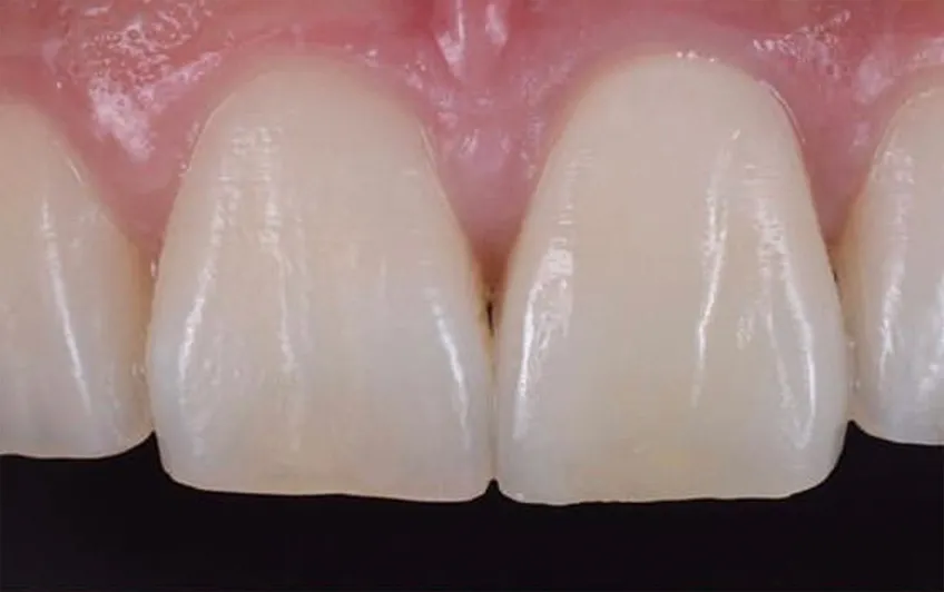
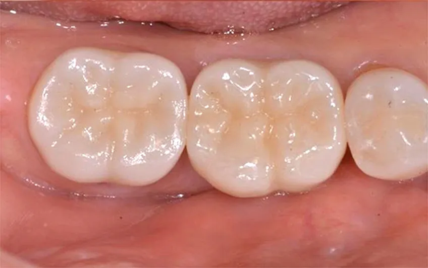
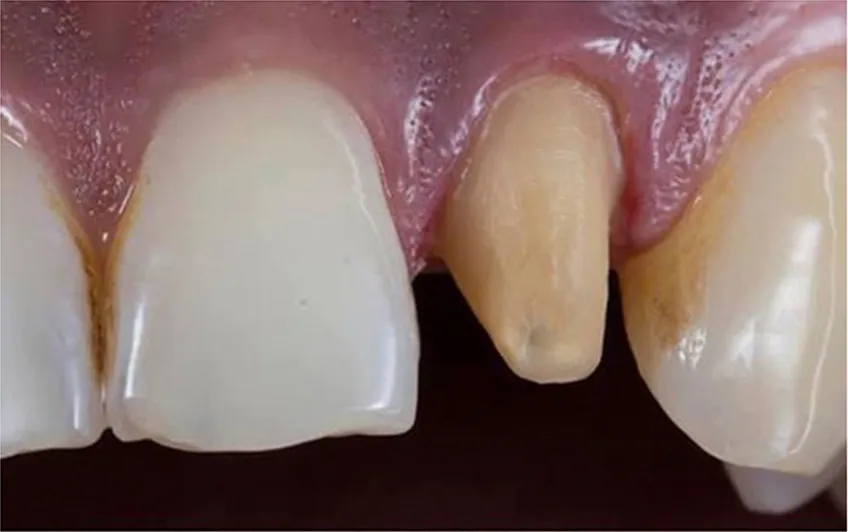
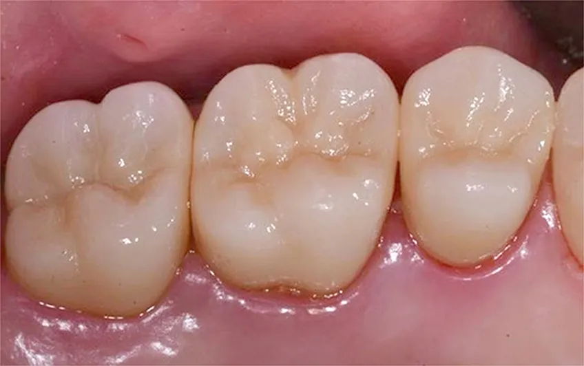
See how personalised, modern dentistry can transform a smile. Every result shown here belongs to a real Ace Dental Wanstead patient and reflects a treatment plan tailored to their goals, lifestyle and facial features.
From subtle cosmetic enhancements to full smile makeovers, our gallery showcases what’s possible with treatments such as composite bonding, Invisalign, whitening and minimally invasive restorations. Whether you’re from Wanstead, Leytonstone, South Woodford or across East London, you can explore how natural and confidence-boosting your new smile could be.

































































































































Ace Dental
11 High Street,
Wanstead, London
E11 2AA
Call us on:
Opening times:
Monday 9am - 6pm
Tuesday & Wednesday 9am - 7pm
Thursday 9am - 5:30pm
Friday 9am - 5pm
Saturday 9am - 2pm
Sunday Closed
Ace Dental
Lister House,
11-12 Wimpole Street,
Marylebone, London
W1G 9ST
Call us on:
Opening times:
Weekdays 9am - 6pm
Rakus Dental
34 Hans Road,
Knightsbridge,
London,
SW3 1RW
Call us on:
Opening times:
Monday 9 am- 6 pm
Tuesday 9 am- 6 pm
Wednesday 9 am - 6 pm
Thursday 9 am - 6 pm
Friday 9 am - 6 pm
Saturday 10 am - 4 pm
Sunday Closed